Çene Kisti Nedir?
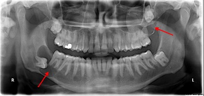
Çenelerde, dişten kaynaklanan ya da bağımsız olarak oluşan çeşitli kistler bulunabilir. Bu kistler bazen hastalar tarafından fark edilmeden oldukça büyük boyutlara ulaşabilir. Bu nedenle düzenli diş hekimi kontrollerinde panoramik diş röntgeni çekilmesi önerilir.
Çene kistleri genellikle diş kaynaklıdır ve diş kökü etrafında oluşur. Tedavi edilmedikleri takdirde büyüyerek ciddi sorunlara yol açabilirler. Diş kökünde kist bulunan hastalarda, sadece dişin çekilmesi yeterli bir tedavi olmaz. Kist kemik içerisinde bırakıldığında büyümeye devam ederek daha büyük problemlere neden olabilir. Bu durumda birden fazla dişin çekilmesi gerekebilir. Bu nedenle, kistik yapılar tespit edildiğinde cerrahi yolla tamamen temizlenmelidir.
Çene Kistlerinin Belirtileri Nelerdir?
Çene kistleri bazen ağrı, şişlik ya da dişlerde hassasiyet gibi belirtilerle kendini gösterebilir. Ancak bazı durumlarda hasta tarafından fark edilmeden oldukça ilerleyebilir.
Odontojenik kistler genellikle iyi huyludur ve yavaş ilerler. Ancak zamanında tedavi edilmezse, sinüsler, burun boşluğu ya da sinir gibi kritik anatomik yapılara zarar verebilir veya kötü huylu tümörlere dönüşme riski taşıyabilir.
Çene Kisti Ameliyatı Nasıl Yapılır?
Kist ile ilişkili olduğu belirlenen dişlere öncelikle kanal tedavisi uygulanabilir. Daha sonra lokal anestezi ile bölge uyuşturularak diş eti dikkatlice kaldırılır ve kiste ulaşılır. Kist tam olarak temizlenir ve alan dikişlerle kapatılır. Sağlıklı kemik doğal iyileşme sürecine bırakılırken, bazı durumlarda iyileşmeyi hızlandırmak için kemik tozu kullanılabilir. Cerrahi sırasında alınan parçaların patoloji incelemesi gerekebilir.
Eğer kist büyükse veya hassas bölgelerde bulunuyorsa, işlem sedasyon ya da genel anestezi altında gerçekleştirilebilir. Bu durumda en uygun yöntem doktor tarafından belirlenir.
Çene Kisti Ameliyatı Ağrılı Mıdır ve Sonrasında Neler Yaşanır?
Ameliyat, etkili bir lokal anestezi ile ağrısız şekilde yapılır. Sonrasında, doktorun önerdiği antibiyotik, ağrı kesici ilaçlar ve antiseptik gargaraların kullanılması gerekir. Hafif şişlikler olasıdır, ancak bunlar kontrol altında tutulabilir.
Sinir dokularıyla ilişkili kistlerin alınması durumunda geçici uyuşukluk yaşanabilir. Bu durum genellikle zamanla düzelir ve kistin temizlenmesinin getireceği yararlar bu risklerden çok daha büyüktür.
